6 key ways to evaluate the heart on chest CT imaging in the ED

A team of researchers from the University of Toronto in Canada has published two checklists for noncardiac radiologists to use when evaluating chest CT exams taken in the emergency department (ED) for potential cardiac conditions.

"The heart is included in all chest imaging and should be systematically evaluated in patients presenting to the emergency department, particularly if a noncardiac cause of the patient's symptoms is not identified," noted a team led by Farah Cadour, MD, of the University of Toronto in Ontario, Canada.

Indications for chest CT in the ED are often related to noncardiac conditions such as pulmonary embolism or pneumonia, the group explained. But as the heart is included in all thoracic imaging, and patients with both cardiac and noncardiac diseases can present in similar ways, radiologists reporting emergency thoracic imaging results should be "familiar with cardiac findings that can be identified with nondedicated nonelectrocardiographically gated chest CT," the team wrote.

ED presentations that could indicate cardiac disease include chest pain, dyspnea, and palpitations, and although only 5% of patients who arrive in the ED with chest pain are diagnosed with acute coronary syndrome, "the implications of missing the diagnosis are substantial," the authors noted.

Cadour and colleagues outlined six key categories to evaluate on ED chest CT imaging:

  1. The patient's clinical history, biochemistry, and any cardiac devices or surgery
  2. Coronary artery origins, course, plaque, stenosis/occlusion
  3. Cardiac chamber size, lumen (mass, thrombus), valves
  4. Myocardium (edema, fat, calcium, wall thickness)
  5. Pericardium (effusion, mass, thickness, calcification) and epicardial fat
  6. Aortic root, pulmonary arteries, and veins

They also offered an emergency imaging cardiac checklist for both coronary and noncoronary conditions:

Emergency imaging cardiac checklist  

Coronary

Noncoronary

Acute myocardial infarction

Cardiomyopathy

Spontaneous coronary artery dissection

Cardiac masses and thrombus

Anomalous coronary artery origin with malignant course

Epicardial fat necrosis

Vasculitis involving the coronary arteries

Pericarditis

 

Pericardial tamponade

 

Endocarditis

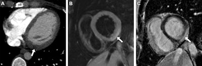
Acute myocarditis in a 30-year-old woman who presented to the emergency department with chest pain and an elevated troponin level. (A) Axial intravenous contrast-enhanced chest CT image acquired to rule out a pulmonary embolism shows focal myocardial low attenuation in the left ventricle basal inferolateral wall (arrow), indicating regional myocardial edema. (B) Short-axis 1.5-tesla T2-weighted cardiac MR image acquired 2 days later shows subepicardial hyperintensity (arrow), indicating acute myocardial edema. (C) Short-axis 1.5- tesla late gadolinium-enhanced cardiac MR image shows corresponding subepicardial late gadolinium enhancement (arrow), indicating inflammation.Acute myocarditis in a 30-year-old woman who presented to the emergency department with chest pain and an elevated troponin level. (A) Axial intravenous contrast-enhanced chest CT image acquired to rule out a pulmonary embolism shows focal myocardial low attenuation in the left ventricle basal inferolateral wall (arrow), indicating regional myocardial edema. (B) Short-axis 1.5-tesla T2-weighted cardiac MR image acquired 2 days later shows subepicardial hyperintensity (arrow), indicating acute myocardial edema. (C) Short-axis 1.5- tesla late gadolinium-enhanced cardiac MR image shows corresponding subepicardial late gadolinium enhancement (arrow), indicating inflammation. Images and caption courtesy of the RSNA.

Cardiac abnormalities can be identified at nongated, nondedicated chest CT performed in the emergency department, according to the researchers, who urged that "communication of cardiac imaging findings in the emergency department should be guided by clinical urgency."

"A systematic approach to cardiac imaging in the emergency department should include evaluation of the coronary arteries, cardiac chambers, myocardium, pericardium, pericardial fat, and central vessels, informed by knowledge of the patient’s clinical presentation and the results of other investigations," they concluded. "Careful assessment of the heart is crucial to identify urgent and nonurgent findings at chest imaging in the emergency department."

The complete work can be found here.

 

Back to the Featured Stories

Connect with us

Whether you are a professional looking for a new job or a representative of an organization who needs workforce solutions - we are here to help.