AI helps predict kidney function decline in Lu-177 patients

An open-source AI tool can help predict renal function decline in prostate cancer patients undergoing lutetium-177 (Lu-177) radiopharmaceutical therapy, according to a study published February 25 in Radiology.

The tool automatically segments total kidney volume on standard CT images, with measurements predicting deterioration of renal function 12 months after patients initiated therapy, noted lead authors Lisa Steinhelfer, MD, and Friederike Jungmann, MD, of the Technical University of Munich in Germany, and colleagues.

“The expanding use of lutetium-177 prostate-specific membrane antigen-I&T radioligand therapy [Lu-177 PSMA-I&T, Pluvicto] in advanced prostate cancer highlights the critical need for reliable biomarkers to predict and manage treatment-related toxicities,” the group wrote.

Lu-177 PSMA-I&T is an approved drug for metastatic castration-resistant prostate cancer that delivers targeted internal radiation to tumors. Substantial absorbed doses of the drug have also been measured in various nontarget organs, such as the kidneys, yet data on the nephrotoxicity of the therapy is sparse, the authors noted.

To address the knowledge gap, the investigators retrospectively analyzed data from 121 patients who underwent CT scans and four or more cycles of Lu-177 PSMA-I&T therapy over a year period. They extracted total kidney volume (TKV) from images at three and six months after treatment using an AI tool called TotalSegmentator, a freely available segmentation AI model developed by a Swiss team in 2023.

In total, 363 CT studies were included, comprising 121 baseline and 242 follow-up scans. TotalSegmentator accurately segmented the kidneys on 356 scans (98%), with only seven scans requiring manual correction, the authors noted.

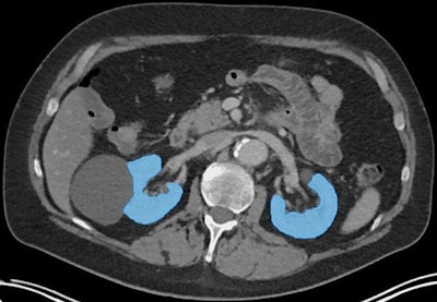
An axial CT image illustrating segmentation of functioning kidney tissue (blue areas), excluding kidney cysts and renal pelvis, using TotalSegmentator. Image and caption courtesy of RSNA.An axial CT image illustrating segmentation of functioning kidney tissue (blue areas), excluding kidney cysts and renal pelvis, using TotalSegmentator. Image and caption courtesy of RSNA.

According to a multivariable logistic regression analysis, a 10% or greater decrease in TKV on CT scans at six months predicted a 30% or greater decline in estimated glomerular filtration rate (eGFR) -- a measure of the rate kidneys filter waste -- at 12 months, the authors reported. A decline in eGFR of 30% or greater is clinically significant, given the association of this level of decline with increased risk of end-stage renal disease, the authors added.

“A 10% or greater reduction in kidney volume at six months served as a highly accurate predictor for identifying patients who would experience a clinically significant eGFR decrease (≥ 30%) at 12 months,” the researchers wrote.

Ultimately, the study highlights the practicality of integrating automated TKV measurements into routine clinical workflows, the researchers noted. As an imaging marker, TKV could be included as an additional parameter when deciding whether patients should continue or discontinue treatment after four cycles of Lu-177 PSMA-I&T, they suggested.

“Future studies should explore earlier volume changes and evaluate the baseline composition of the renal cortex and medulla to improve early prediction of eGFR decrease, especially with the expanding use of Lu-177 PSMA radioligand therapy in earlier disease stages,” the group concluded.

The full study is available here.

 

Back to the Featured Stories

Connect with us

Whether you are a professional looking for a new job or a representative of an organization who needs workforce solutions - we are here to help.