Are white-matter hyperintensities found on MRI biomarkers for TBI?

White matter hyperintensities (WMHs) found on high-resolution FLAIR images on 3-tesla MRI aren't necessarily biomarkers for mild traumatic brain injury (mTBI, or concussions), according to a study published February 19 in the American Journal of Roentgenology.

The results could help clinicians better understand MRI exam findings in patients presenting with concussion, wrote a group led by senior author Teena Shetty, MD, of the Hospital for Special Surgery in New York City.

"WMHs are common on high-resolution FLAIR images at 3-tesla and do not serve as a biomarker of mTBI," the team explained.

It can be tricky for clinicians to diagnose, classify, and prognosticate outcomes in people with mild traumatic brain injury (mTBI) due to a lack of objective biomarkers, the group explained, noting that "given [the prevalence of WMHs] across varied clinical conditions and in healthy individuals, the clinical interpretation of WMHs in the context of mTBI is challenging." Shetty and colleagues sought to compare WMHs identified on high-resolution 3-T MRI in patients with and without mTBI -- and to determine if there were any associations of WMHs with clinical markers in those with concussion.

They did this via a study that included 303 individuals with acute mTBI as well as a matched control group of 148 people without it. The data was taken from seven U.S. centers between the timeframe of November 2015 to January 2018. Participants attended four appointments (from baseline to three months after enrolling in the research effort); at each encounter, all underwent a 3-tesla MRI exam that included a high-resolution isotropic 3D T2-weighted FLAIR sequence.

Two neuroradiologists reviewed FLAIR sequences from each MRI exam for the presence of at least one WMH and of abnormal WMHs (which the researchers defined as at least five or more punctate foci equal, at least one focus measuring more than 3 mm, or at least one focus in an unusual location).

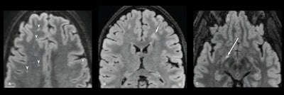
Axial FLAIR images of brain from baseline 3-T MRI examinations in 3 different participants with acute mTBI, showing abnormal WMHs based on varying criteria. (A) 41-year-old participant. Image shows five punctate hyperintense foci in frontal lobes (arrowheads), including four foci on the and one focus on left. (B) 16-year-old participant. Image shows 1-cm patchy hyperintense focus (arrow) in left frontal periventricular white matter. (C) 47-year-old participant. Image shows hyperintense focus in atypical location along right optic radiation (arrow). Images and caption courtesy of the ARRS.Axial FLAIR images of brain from baseline 3-T MRI examinations in 3 different participants with acute mTBI, showing abnormal WMHs based on varying criteria. (A) 41-year-old participant. Image shows five punctate hyperintense foci in frontal lobes (arrowheads), including four foci on the and one focus on left. (B) 16-year-old participant. Image shows 1-cm patchy hyperintense focus (arrow) in left frontal periventricular white matter. (C) 47-year-old participant. Image shows hyperintense focus in atypical location along right optic radiation (arrow). Images and caption courtesy of the ARRS.

The team reported that participants with acute mTBI and matched control participants showed no significant difference in the frequency of at least one WMH or of abnormal WMHs. It also noted that, in the mTBI group, WMHs were not associated with clinical markers of head injury.

Comparison of WMH status on MR imaging among individuals with mTBI and those without
WMH status Control group mTBI group p-value
Presence of at least 1 WMH 35% 34% 0.76
Presence of abnormal WMH 35% 40% 0.5

The takeaway? "Given these findings, when WMHs are encountered in individuals presenting with mTBI, caution is required in potentially interpreting such findings as related to the mTBI," the authors concluded.

The complete study can be found here.

 

Back to the Featured Stories

Connect with us

Whether you are a professional looking for a new job or a representative of an organization who needs workforce solutions - we are here to help.