CT-based nomogram aids in managing advanced ovarian cancer

A CT-based nomogram could aid with radiological reporting and supporting triaging of advanced ovarian cancer, suggest findings published April 29 in Lancet Regional Health - Southeast Asia

The nomogram, named CT PAUSE, achieved high marks in improving multidisciplinary team (MDT) decision-making based on upper abdominal disease volume on CT imaging, wrote a team led by Anuradha Chandramohan, MD, from Christian Medical College Vellore in India. 

“[CT PAUSE’s] performance in this cohort might suggest potential for integration into clinical workflows, pending further validation,” the Chandramohan team wrote. 

Researchers continue to explore ways to establish standardization in ovarian cancer reporting, but wide variability persists in radiological reporting styles. This can have a negative impact on effective communication and surgical planning. 

Chandramohan and colleagues highlighted one such attempt at standardization (PAUSE stands for Peritoneal Cancer Index [PCI]), Ascites and abdominal wall involvement, Unfavorable sites, Small bowel and mesenteric disease, and Extraperitoneal disease). 

For their prospective study, the researchers incorporated PAUSE into routine multidisciplinary team workflows to explore how it can aid in ovarian cancer staging and cytoreductive surgical triaging. 

The study included 124 women with stage III/IV ovarian cancer who underwent 175 contrast-enhanced CT scans between 2022 and 2024. The researchers prospectively scored PAUSE components during evaluation and studied interobserver agreement in a subset of 30 cases. 

CT PAUSE led to multidisciplinary team triaging achieving a complete cytoreduction rate of 89.3%. 

The researchers developed a simplified nomogram based on upper abdominal disease volume. This showed discriminatory ability, with an area under the curve of 0.820. The researchers wrote that the tool could be an alternative to the full radiological PCI-based nomogram (AUC = 0.763) in busy clinical settings.  

Interobserver agreement also achieved substantial marks for both nomogram scores. The researchers reported higher reliability for scoring derived from the upper abdominal disease-based nomogram (intraclass correlation coefficient [ICC] = 0.710 vs. 0.627; p

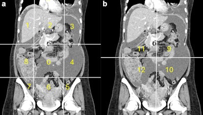
Calculation of radiological peritoneal cancer index (rPCI) adapted from Sugarbaker et al (1). (a) Coronal CT showing regions 0–8. Vertical lines are drawn along the right and left midclavicular line and the horizontal lines along the costal margin and the iliac crests. (b) Coronal CT showing regions 9 to 12. The vertical and the horizontal lines are through the umbilicus divide the small bowel and mesentery into proximal and distal jejunal and ileal regions. Images are republished under a Creative Commons license (CC BY 4.0).Calculation of radiological peritoneal cancer index (rPCI) adapted from Sugarbaker et al (1). (a) Coronal CT showing regions 0–8. Vertical lines are drawn along the right and left midclavicular line and the horizontal lines along the costal margin and the iliac crests. (b) Coronal CT showing regions 9 to 12. The vertical and the horizontal lines are through the umbilicus divide the small bowel and mesentery into proximal and distal jejunal and ileal regions. Images are republished under a Creative Commons license (CC BY 4.0).

The study authors called for further validation to define CT PAUSE’s role in surgical triaging and personalized management strategies. 

“Although imaging is only one component of patient selection, the PAUSE framework appears to be a useful structured decision-support approach,” they wrote. 

Still, they reiterated that CT PAUSE scoring in multidisciplinary team workflows could make way for more consistent radiological assessment and support multidisciplinary discussions in advanced epithelial ovarian cancer management. 

Read the full study here.

 

Back to the Featured Stories

Connect with us

Whether you are a professional looking for a new job or a representative of an organization who needs workforce solutions - we are here to help.