CT colonography more cost-effective than DNA stool testing

CT colonography (CTC) for cancer screening is more effective and may save more on costs compared with multitarget stool DNA (mt-sDNA) testing, according to research published June 10 in Radiology.

A team led by Perry Pickhardt, MD, from the University of Wisconsin in Madison found that a three-year CTC surveillance strategy for small colorectal polyps and colonoscopy referral for large polyps had the best overall balance of cost and clinical efficacy.

“It was easy to show that CT colonography frankly dominated [mt-sDNA], and by that, I mean that it was more clinically effective … and also did it in a more cost-effective way,” Pickhardt told AuntMinnie. “It actually saves money, according to our model, by preventing downstream cancers.”

CTC screening began being covered by Medicare in January 2025, with various medical societies recommending screening starting at age 45.

The researchers also noted that mt-sDNA is primarily a cancer detection test, meaning most advanced adenomas are not detected through this method. They highlighted previous reports suggesting that CTC detects most advanced adenomas and colon cancers. Furthermore, previous studies suggest that CTC screening is more cost-effective than no screening at all, though the same can be said for mt-sDNA testing.

Pickhardt and colleagues compared both screening methods in terms of clinical efficacy and cost-effectiveness. They employed three screening strategies: mt-sDNA testing every three years, conventional CTC exams of immediate polypectomy for all polyps measuring at least 6 mm every five years, and a surveillance strategy of three-year CTC follow-up for small polyps and polypectomy for large polyps.

Pickhardt describes the model's success by incorporating natural history data in the detection of small polyps via CT colonography.

The team tested these on a hypothetical population based on natural history from 10,000 modeled 45-year-old adults.

Both CTC strategies led to reductions in the cumulative incidence of colorectal cancer. Without screening, the cumulative incidence was 7.5% (n = 752). Conventional and surveillance CTC reduced this by 75% (n = 190) and 70% (n = 223), respectively. The mt-sDNA, meanwhile, led to a 59% reduction (n = 310).

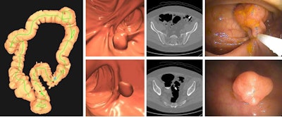
Images depict a positive CT colonography screening exam result in an asymptomatic 67-year-old man. 3D colon map from CT colonography (left image) shows the location of two sigmoid polyps that were detected (red dots). 3D endoluminal and confirmatory 2D transverse CT colonography images show a large 1.6-cm pedunculated polyp on top row (arrow) and a 9-mm pedunculated polyp in the distal sigmoid on the bottom row (arrow). Both polyps were confirmed and resected at optical colonoscopy performed the same day (right images), avoiding the need for a second bowel preparation. The larger polyp proved to be a tubulovillous adenoma (large advanced adenoma), whereas the smaller polyp was a nonadvanced tubular adenoma. Compare this level of information of a positive CT colonography screening test result with a positive multitarget stool DNA test result, for which no specific information is provided.Images depict a positive CT colonography screening exam result in an asymptomatic 67-year-old man. 3D colon map from CT colonography (left image) shows the location of two sigmoid polyps that were detected (red dots). 3D endoluminal and confirmatory 2D transverse CT colonography images show a large 1.6-cm pedunculated polyp on top row (arrow) and a 9-mm pedunculated polyp in the distal sigmoid on the bottom row (arrow). Both polyps were confirmed and resected at optical colonoscopy performed the same day (right images), avoiding the need for a second bowel preparation. The larger polyp proved to be a tubulovillous adenoma (large advanced adenoma), whereas the smaller polyp was a nonadvanced tubular adenoma. Compare this level of information of a positive CT colonography screening test result with a positive multitarget stool DNA test result, for which no specific information is provided.RSNA

The researchers also found that the CTC strategies led to lower estimated programmatic costs, including $4,422 for the conventional strategy and $3,913 for the surveillance strategy. No screening and the mt-sDNA strategy led to estimated programmatic costs of $4,955 and $6,011, respectively. And the estimated cost per quality-adjusted life year (QALY) gained for mt-sDNA testing was $8,878, meaning both CTC strategies led to cost savings, Pickhardt noted.

However, the team reported that the conventional CTC strategy was not as cost-effective as the surveillance strategy. Costs linked to more optical colonoscopies did not offset the corresponding small gains in QALYs, and the results were similar when colorectal cancer screening began at age 50 and 65, the group added.

Pickhardt said that with these results in mind, primary care providers should consider CTC as a “Goldilocks study” for cancer screening and could avoid invasive tests.

Pickhardt explains CT colonography's advantages and makes a case for primary care providers to consider this exam more when recommending patients for colorectal cancer screening.

He added that future research will compare cost analyses between CTC with colonoscopy.

“I think we can show that CT colonography is clearly cost-effective given the expense of putting everyone through the invasive test,” Pickhardt told AuntMinnie.

The results provide foundational work that shows the promise that CTC holds for colorectal cancer screening, wrote Samuel Galgano, MD, and Elainea Smith, MD, from the University of Alabama at Birmingham in an accompanying editorial. The two added that the study also shows how the modality performs better and saves on costs compared with other screening methods.

“As the U.S. healthcare landscape continually strives to improve quality and reduce costs, studies such as this are essential in guiding clinical practice guidelines and screening strategies,” Galgano and Smith wrote. “While optimal colonoscopy will remain an important screening and diagnostic tool for colorectal cancer, it is essential that we establish the optimal screening strategies in those patients who are unable to or choose not to undergo optimal colonoscopy.”

The full study can be found here.

 

Back to the Featured Stories

Connect with us

Whether you are a professional looking for a new job or a representative of an organization who needs workforce solutions - we are here to help.