CT shows that cystic lung lesions on LCS boost malignancy risk

Cystic lung lesions with nodular wall thickening -- often identified on low-dose CT (LDCT) lung cancer screening (LCS) -- are associated with increased risk of malignancy, researchers have reported.

The study findings clarify the behavior of these particular lesions and could help determine patient follow-up and treatment strategies, wrote a team led by Suzanne C. Byrne, MD, of Brigham and Women's Hospital in Boston. The results were published May 20 in Radiology.

"The results of this study confirm many recommendations from [Lung-RADS] and may help in making decisions for high-risk patients not in lung cancer screening programs," the group noted.

Lung cancer is the leading cause of cancer death for both men and women in the U.S., and it primarily manifests as a mass or nodule, the group explained. Less commonly, it appears as a cystic lesion with wall thickening and/or a solid or ground-glass nodular characteristic. Although diagnosis of this type of lung cancer presentation has increased -- due to clinician awareness and an expanded pool of individuals eligible for LCS -- there continues to be a lack of consensus on the risk of malignancy and cystic lung lesions, according to Byrne and colleagues.

The team set itself the task of evaluating imaging characteristics associated with the risk of malignancy of cystic lung lesions in an LCS program via a study that included 15,762 CT lung cancer screening exams performed between January 2015 and July 2023. Readers reviewed baseline CT images and recorded lesion morphologic characteristics and size; follow-up CT exams were evaluated for changes in the lesions.

Among the total number of exams, 235 (1.4%) showed cystic lung lesions. Of these, 33 (14%) resulted in a diagnosis of lung cancer that arose from these lesions.

The group reported the following:

  • Increased risk of cancer was associated with nodular wall thickening (odds ratio [OR], 11, with 1 as reference; p = 0.002) and the presence of a solid nodule (OR, 5.3; p 
  • There were no cases of malignancy in cystic lesions without wall thickening (n = 46).
  • Lesion growth or increase in complexity over time was associated with an increased risk of malignancy (p
  • Median time to cancer diagnosis was 482 days, and 28 out of 33 cancers detected (85%) were stage 0 or I.

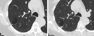
CT images in a 74-year-old female patient. (A) Axial image from a lung cancer screening shows a 3.1 cm by 2 cm unilocular cystic lesion with a 0.5 cm solid nodular component in the right upper lobe. The overall size of the lesion and solid nodular component ultimately grew. (B) Follow-up CT image obtained 37 months later, before resection, shows a 3.5 cm by 2.4-cm lesion with a 0.8-cm solid component. This lesion was pathologically proven to be invasive adenocarcinoma. Images and caption courtesy of the RSNA.CT images in a 74-year-old female patient. (A) Axial image from a lung cancer screening shows a 3.1 cm by 2 cm unilocular cystic lesion with a 0.5 cm solid nodular component in the right upper lobe. The overall size of the lesion and solid nodular component ultimately grew. (B) Follow-up CT image obtained 37 months later, before resection, shows a 3.5 cm by 2.4-cm lesion with a 0.8-cm solid component. This lesion was pathologically proven to be invasive adenocarcinoma. Images and caption courtesy of the RSNA.

The findings further illuminate the characteristics of this specific manifestation of lung cancer, according to the authors.

"Cystic lung lesions, particularly those with nodular wall thickening, have an increased risk of malignancy," they concluded. "Notably, most of these patients were diagnosed at an early cancer stage and after a long time, suggesting that most cystic lung lesions have indolent behavior. It may be possible to manage these lesions similarly to subsolid nodules, with surveillance until there is a new or enlarging solid component."

The complete study can be found here.

 

Back to the Featured Stories

Connect with us

Whether you are a professional looking for a new job or a representative of an organization who needs workforce solutions - we are here to help.