Gadopiclenol at half GBCA dose effective for pediatric brain MRI

Gadopiclenol can be effectively used for pediatric brain MR imaging at half the dose of the gadolinium-based agent (GBCA) gadoterate, according to a study published June 25 in the American Journal of Roentgenology.

The findings are good news, in that children's exposure to gadolinium-based contrast agents (GBCAs) could be lowered, wrote a team led by Sergio Valencia, MD, of Massachusetts General Hospital in Boston.

"Use of gadopiclenol could facilitate reductions in cumulative gadolinium exposure in children requiring serial MRI examinations," the researchers noted.

Concern about GBCAs center on the potential for gadolinium retention in the body, particularly the brain. Valencia and colleagues noted that "special caution remains warranted regarding the use of GBCAs in children, who have a longer remaining life expectancy than adults and may therefore be subject to unrecognized adverse effects associated with long latency periods."

In 2022, the U.S. Food and Drug Administration (FDA) cleared the macrocyclic agent gadopiclenol; its relatively high T1 relaxivity allows for significant dose reductions, the investigators explained. They sought to explore the effectiveness of gadopiclenol for brain MR imaging in children via a study that included 38 patients (mean age, 11 years) who underwent gadopiclenol-enhanced brain MRI at 0.05 mmol/kg between December 2024 to March 2025 and gadoterate meglumine-enhanced MRI at 0.1 mmol/kg within the prior six months (using the same field strength and protocol).

The team analyzed 3D T1-weighted fast-spin echo, 3D T1-weighted gradient-recalled echo, and 2D fluid-attenuated inversion-recovery image or sequence (FLAIR) postcontrast sequences and measured contrast ratio and contrast-to-noise ratio in the following structures: the choroid plexus, the pituitary, the dural venous sinuses, and the turbinate mucosa. Two radiologists rated the preferred sequence for characterizing the enhancement of these structures using a Likert scale that ranged from -2 to 2.

Overall, the investigators found that the contrast ratio between the two agents was not significant, and that the contrast-to-noise ratio was not significantly different between the two agents for any combination of structure and sequence. They did report, however, that the contrast ratio was higher for gadopiclenol than for gadoterate for imaging the choroid plexus on 3D T1-weighted fast-spin echo and the turbinate mucosa on 3D T1-weighted gradient-recalled echo.

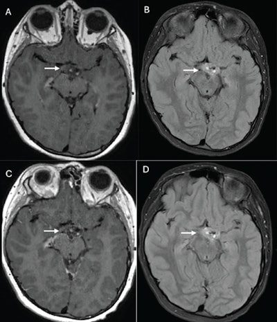
10-year-old boy who underwent brain MRI examinations due to optic tract glioma (A, B) Axial postcontrast 3D T1-weighted fast-spin echo (A) and fluid-attenuated inversion-recovery image or sequence (FLAIR) (B) images from examination performed using gadoterate meglumine. (C, D) Axial postcontrast 3D T1-weighted gradient-recalled echo (C) and FLAIR (D) images from examination performed using gadopiclenol. Images show expansile lesion centered in left optic tract, with punctate enhancement medially and posteriorly (arrow, A-D). Readers 1 and 2 assigned score for border delineation on 3D T1-weighted fast-spin echo of -2 and -1; for border delineation on FLAIR of 0 and 0; for contrast enhancement on 3D T1-weighted fast-spin echo of -2 and -2; for contrast enhancement on FLAIR of 0 and 1; for internal morphology on 3D T1-weighted fast-spin echo of -1 and -2; and for internal morphology on FLAIR of 0 and 0. Negative values indicate preference for gadopiclenol-enhanced examination, whereas positive values indicate preference for gadoterate meglumine-enhanced examination. Image and caption courtesy of the AJR.10-year-old boy who underwent brain MRI examinations due to optic tract glioma (A, B) Axial postcontrast 3D T1-weighted fast-spin echo (A) and fluid-attenuated inversion-recovery image or sequence (FLAIR) (B) images from examination performed using gadoterate meglumine. (C, D) Axial postcontrast 3D T1-weighted gradient-recalled echo (C) and FLAIR (D) images from examination performed using gadopiclenol. Images show expansile lesion centered in left optic tract, with punctate enhancement medially and posteriorly (arrow, A-D). Readers 1 and 2 assigned score for border delineation on 3D T1-weighted fast-spin echo of -2 and -1; for border delineation on FLAIR of 0 and 0; for contrast enhancement on 3D T1-weighted fast-spin echo of -2 and -2; for contrast enhancement on FLAIR of 0 and 1; for internal morphology on 3D T1-weighted fast-spin echo of -1 and -2; and for internal morphology on FLAIR of 0 and 0. Negative values indicate preference for gadopiclenol-enhanced examination, whereas positive values indicate preference for gadoterate meglumine-enhanced examination. Image and caption courtesy of the AJR.

The bottom line? The study findings "support the use of gadopiclenol as an alternative to other macrocyclic agents for pediatric brain MRI examinations," Valencia and colleagues concluded.

Access the full study here.

 

Back to the Featured Stories

Connect with us

Whether you are a professional looking for a new job or a representative of an organization who needs workforce solutions - we are here to help.