PET/CT guides surgery for primary aldosteronism

PET/CT imaging with gallium-68 (Ga-68) pentixafor can effectively guide surgery for patients with primary aldosteronism (PA), a common cause of hypertension, according to a recent study.

The finding is from a prospective analysis in 91 patients who underwent surgery based on the results of the scans and suggests the technique is comparable to gold standard adrenal vein sampling, noted lead author Guoyang Zheng, MD, of the Chinese Academy of Medical Sciences in Beijing, and colleagues.

“Ga-68 pentixafor PET/CT could effectively guide the surgical treatment not only for [primary aldosteronism] patients with unilateral adrenal lesion, but also for [primary aldosteronism] patients with bilateral lesions, achieving favorable postoperative outcomes,” the group wrote. The study was published January 27 in the Journal of Clinical & Translational Endocrinology.

Primary aldosteronism is driven by the secretion of aldosterone from adrenal glands and is the most common and treatable form of secondary hypertension. The disease is usually caused by benign tumors (aldosterone-producing adenomas) in one adrenal gland, but may also involve both, and thus determining the dominant side of aldosterone secretion is crucial for surgical management, the authors explained.

While adrenal vein sampling is the gold standard for determining the dominant side of aldosterone secretion, it is an invasive, costly, and complex procedure, they noted. Conversely, in early studies, Ga-68 pentixafor PET/CT has demonstrated a sensitivity of 100% and a specificity 78.6% in differentiating unilateral from bilateral PA, based on uptake of the Ga-68 petixafor radiotracer by tumors, the group wrote.

Thus, to further explore its clinical value, in this study the group explored relationships between the imaging technique and outcomes following surgery.

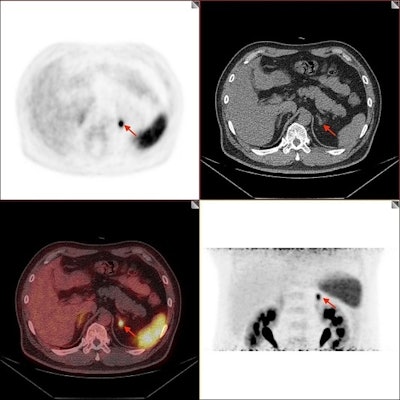
Image of positive adrenal lesion with small size. A 59-year-old male PA patient with one small size lesion in left adrenal gland was identified as positive by Ga-68 pentixafor PET/CT, with a SUVmax of 7.7 and a diameter of 0.8 cm. This patient achieved both complete clinical and biochemical success after laparoscopic total adrenalectomy and result of pathological diagnosis was aldosterone-producing adenoma. Images available for republishing under Creative Commons license (CC BY 4.0 DEED, Attribution 4.0 International) and courtesy of the Journal of Clinical & Translational Endocrinology.Image of positive adrenal lesion with small size. A 59-year-old male PA patient with one small size lesion in left adrenal gland was identified as positive by Ga-68 pentixafor PET/CT, with a SUVmax of 7.7 and a diameter of 0.8 cm. This patient achieved both complete clinical and biochemical success after laparoscopic total adrenalectomy and result of pathological diagnosis was aldosterone-producing adenoma. Images available for republishing under Creative Commons license (CC BY 4.0 DEED, Attribution 4.0 International) and courtesy of the Journal of Clinical & Translational Endocrinology.

Out of the 91 patients diagnosed with PA, 73 patients had unilateral adrenal lesion and Ga-68 pentixafor PET/CT identified 63 of these cases. Of the 63 cases, 95.2% benefited from surgical resection of the identified positive lesions, according to the findings.

Among 18 PA patients with bilateral lesions, Ga-68 pentixafor PET/CT identified positive lesions in 15 cases, and 86.7% (13/15) of these cases benefited from total or partial adrenalectomy.

In addition, the accuracy rate of Ga-68 pentixafor PET/CT in determining the dominant side of aldosterone secretion was 85.7%, a rate comparable to adrenal vein sampling, the group reported.

“Our research preliminarily proved that Ga-68 pentixafor PET/CT was not inferior to [adrenal vein sampling] in identifying the dominant side of aldosterone secretion for PA,” the researchers wrote.

Ultimately, however, additional studies with larger numbers of patients will be needed to further explore whether the technique could replace adrenal vein sampling, which is not only invasive and costly, but also requires considerable experience and skill to ensure success, they wrote.

“There is a compelling need to explore noninvasive alternative methods, which could effectively identify functional adrenal lesions and determine the dominant side of aldosterone secretion,” the group wrote.

The full study is available here.

 

Back to the Featured Stories

Connect with us

Whether you are a professional looking for a new job or a representative of an organization who needs workforce solutions - we are here to help.